Call us: 9823170310 | E-mail: sandeepinchanalkar@gmail.com

Dr. Sandeep Inchanalkar

CALL US - 9921341134

Epilepsy Surgery

Epilepsy Surgery
  • Epilepsy Surgery

Intra Op

Epilepsy Surgery
  • Epilepsy Surgery

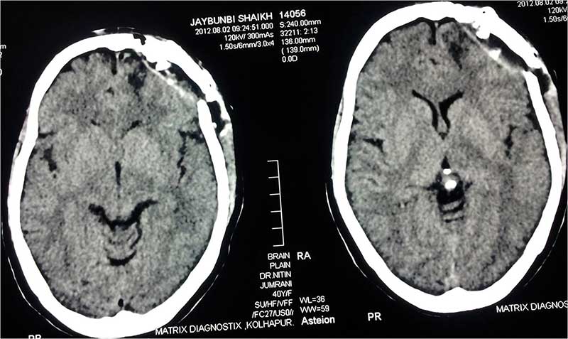
Post Op CT of Cavernoma

Epilepsy Surgery
  • Epilepsy Surgery

Dnet t2w

Epilepsy Surgery
  • Epilepsy Surgery

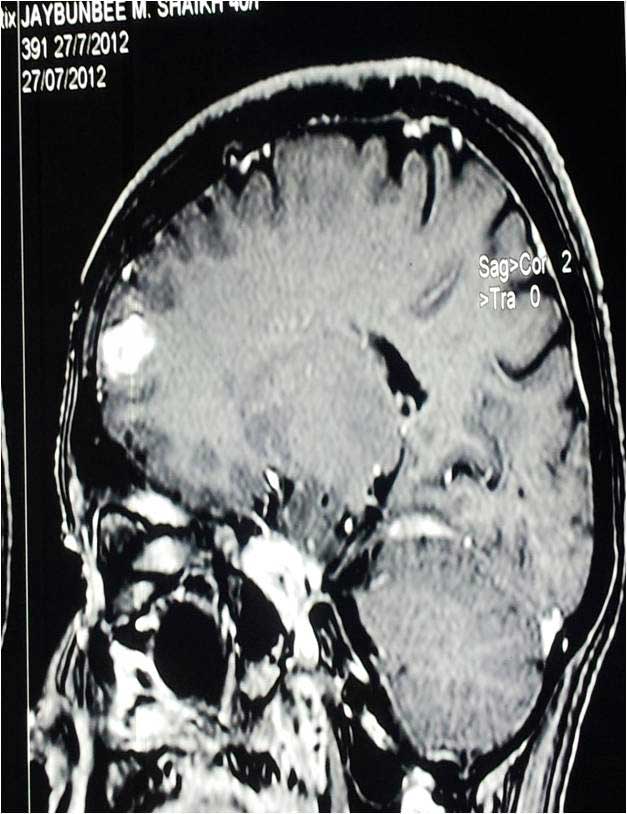
Cavernoma Pre Op Mri

Epilepsy Surgery
  • Epilepsy Surgery

Bone Indentation by Tumor

Epilepsy Surgery
  • Epilepsy Surgery

Preop Epilepsy Surg

Epilepsy Surgery
  • Epilepsy Surgery

Post Op 1 CT Scan

Epilepsy Surgery
  • Epilepsy Surgery

Intraop of Dnet

Go to top of page