Call us: 9823170310 | E-mail: sandeepinchanalkar@gmail.com

Dr. Sandeep Inchanalkar

CALL US - 9921341134

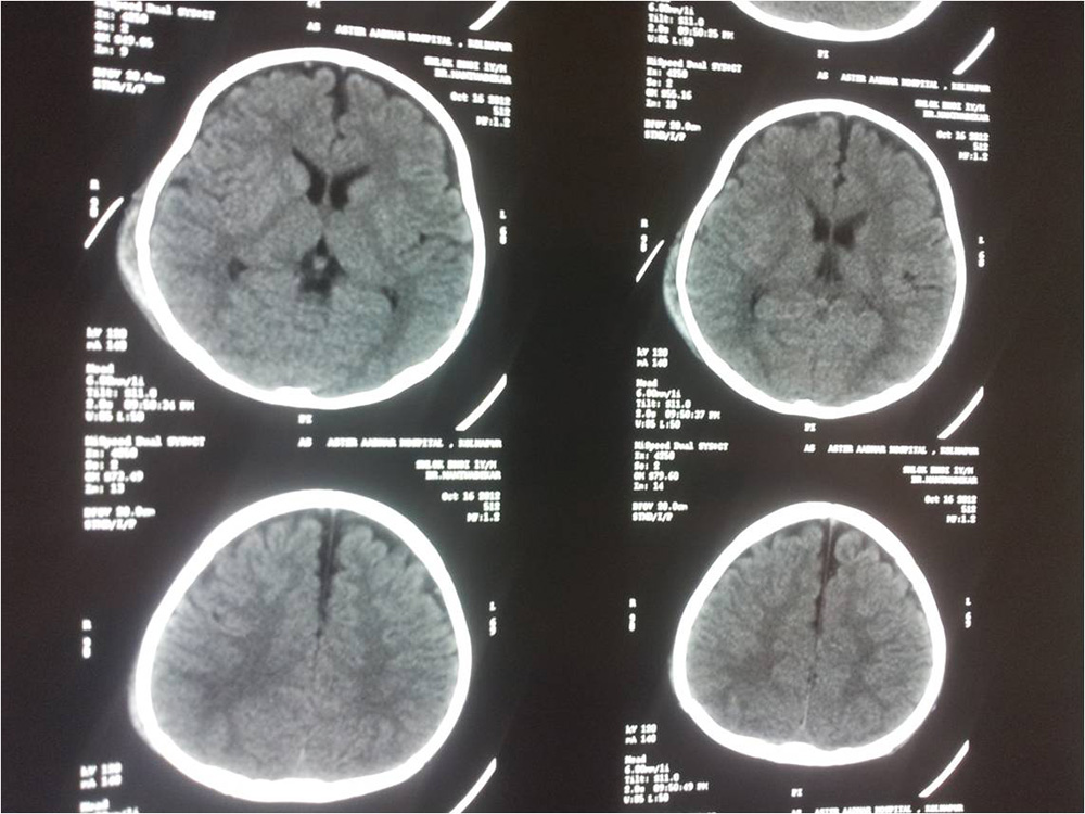
Diffuse Axonal Injury

clinical post rcovery conservative treatment
  • clinical post rcovery conservative treatment

clinical post rcovery conservative treatment

CT of Dai
  • CT of Dai

CT of Dai

MRI of Dai
  • MRI of Dai

MRI of Dai

Go to top of page