Call us: 9823170310 | E-mail: sandeepinchanalkar@gmail.com

Dr. Sandeep Inchanalkar

CALL US - 9921341134

Brain Stem Lesions

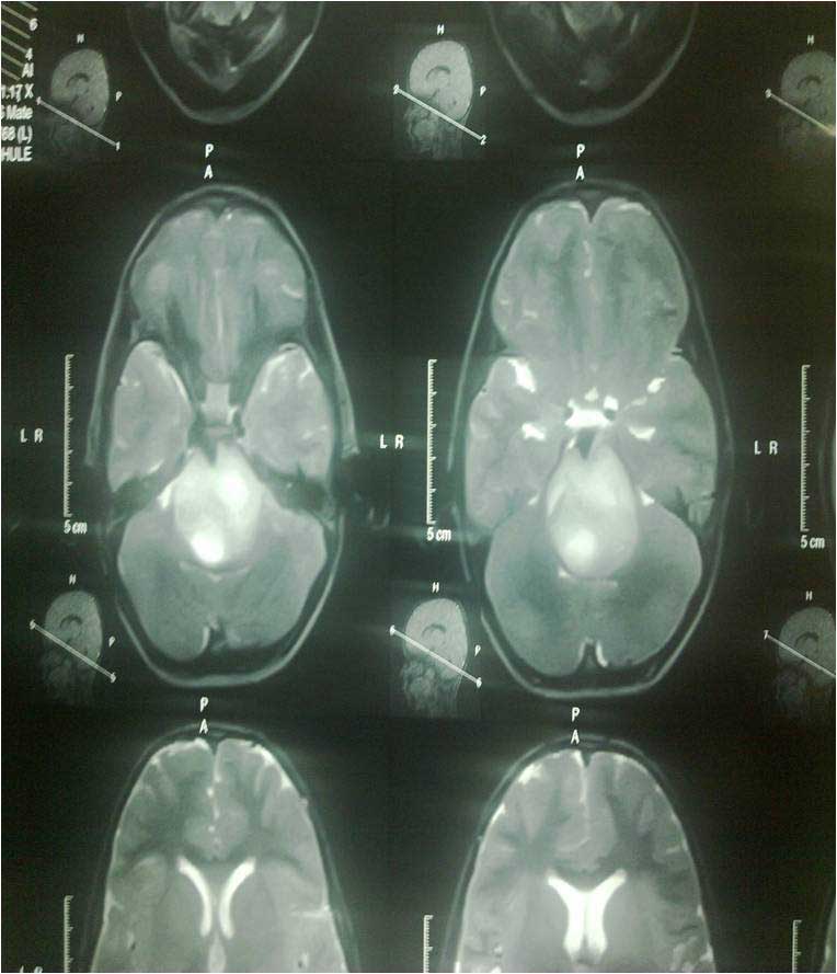
Brainstem Glioma
  • Brainstem Glioma

Brainstem Glioma

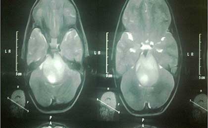
Brain Stem Glioma 2
  • Brain Stem Glioma 2

Brain Stem Glioma 2

Tuberculoma of cervicomedullary region
  • Tuberculoma of cervicomedullary region

Tuberculoma of cervicomedullary region

clinical photo of brainstem glioma
  • clinical photo of brainstem glioma

clinical photo of brainstem glioma

Go to top of page