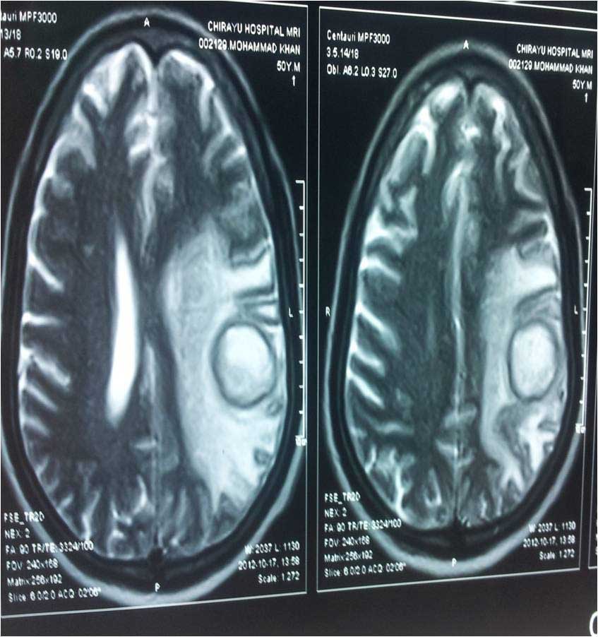
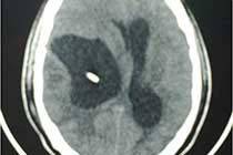
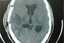
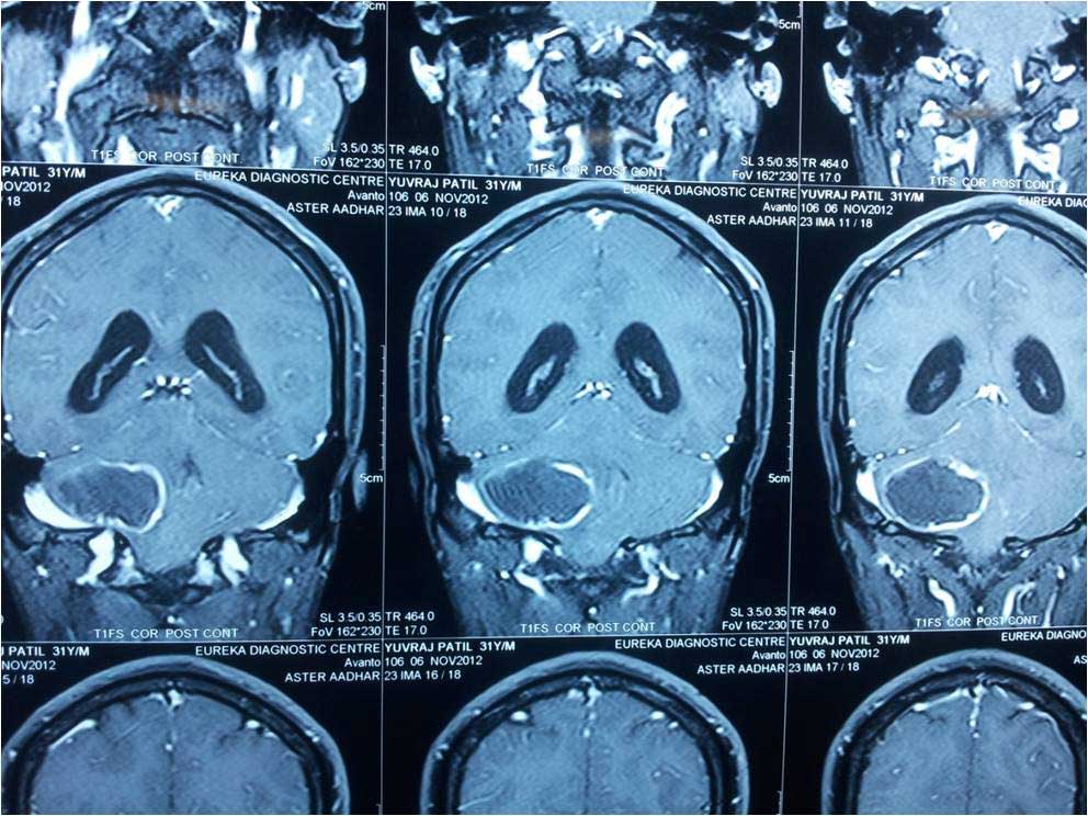
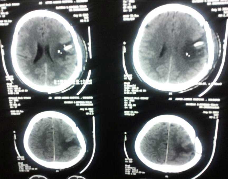
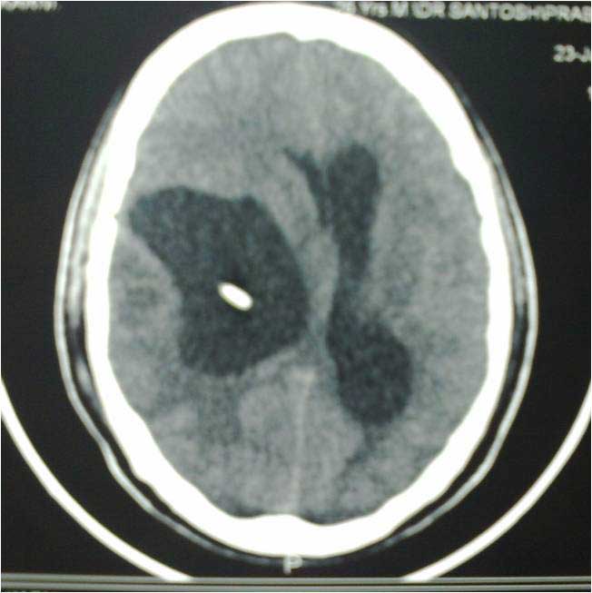
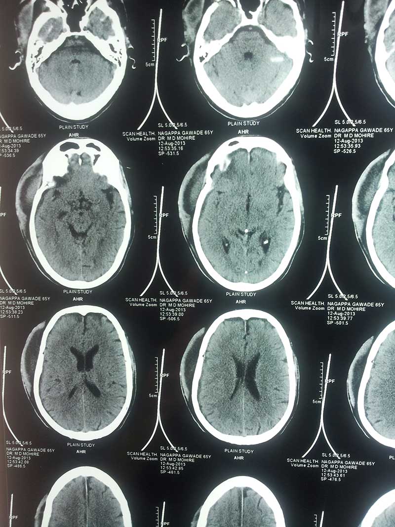
Brain Abscess Brain Abscess Post OP 2 Clinical Intra OP ,After Excising The Granuloma Intaop Scalp Abscess CT Scalp Abscess Cerebellar Abscess Post OP Clinical Cerebellar Abscess Brain TB Granuloma Post OP CT Scan Brain Infection Brain Abscess Preop MRI 2 Brain Abscess PRE OP Clinical 1 Brain Abscess PRE OP Brain Abscess Intraop 2 Brain Abscess Following Shunt Temporal Abscess T2W of TB Granuloma Scalp Abscess Preop CT Marking PRW OP MRI of TB Granuloma Post OP Clinical Photo Post OP Cerebellar Abscess Post OP Brain Abscess Intraop Specimen of Granuloma