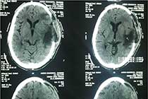
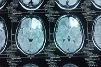
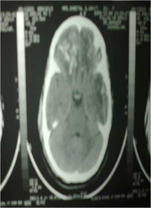
Brain Contusion Post OP CT of Bifrontal Contusion Brain X-Ray Bifrontal Contusion Pre OP intra op photo of contusion Brain Abscess Post OP 2 Clinical Brain Abscess Post OP 2 Clinical Brain Abscess Post OP 2 Clinical Brain Abscess Post OP 2 Clinical Brain Abscess Post OP 2 Clinical Brain Abscess Post OP 2 Clinical